همین حالا در خبرنامه مشترک شوید تا آخرین اخبار ، اطلاع رسانی ها و تخفیف ها را دریافت کنید.
ایران، استان تهران، تهران
بیست سال سابقه کار ، دکترای دندانپزشکی از دانشگاه سراسری شهید صدوقی یزد
















پیش از 20 سال سابقه
انجام بی حسی بدون درد
استفاده از جدید ترین تجهیزات دندانپزشکی
مشاوره تخصصی خدمات دندانپزشکی زیبایی

کامپوزیت دندان ( dental composite ) یک درمان در دندانپزشکی می باشد که یکی از مهمترین روش های درمانی زیبایی است. به منظور ترمیم شکستگی، پوسیدگی و رفع ترک،تغییر سایز، فرم و رنگ دندان استفاده می شود.

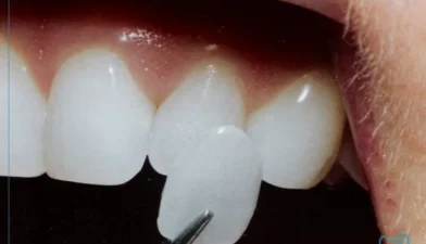
لمینت دندان یک روش زیبایی دندانپزشکی است که در آن روکشهای نازکی از جنس سرامیک یا کامپوزیت روی سطح دندانها قرار میگیرند تا ظاهر آنها را بهبود بخشد.

درمانهای نوین دندانپزشکی تحت کانسپت بایومیمتیک( تکنیک متکی برشبیه سازی دندانهای تخریب شده خلفی با متریال ساختاری باخصوصیات شبیه به ساختار دندانی ازلحاظ فرم ،رنگ آناتومی وفانکشن )

پروتز ثابت نوعی پروتز دندانی است که به دندان یا ایمپلنت متصل و چسبانده شده و بیمار قادر نیست آن را از دهان خود خارج نماید. نحوه این اتصال می تواند به کمک پیچ یا چسب مخصوص باشد.

دندانپزشکی کودکان، بخشی از دندانپزشکی است که به مراقبتهای بهداشتی و درمانی دندانهای کودکان از نوزادی تا نوجوانی میپردازد.

بلیچینگ دندان یک روش زیبایی است که برای سفید کردن دندانها و از بین بردن لکههای سطحی و عمقی روی آنها استفاده میشود. این روش با استفاده از مواد شیمیایی خاصی که حاوی پراکسید هیدروژن یا پراکسید کاربامید هستند، انجام میشود. این مواد با نفوذ به مینای دندان و عاج، رنگدانههای تیره را اکسید کرده و دندانها را روشنتر میکنند.
برای کسب اطلاعات بیشتر روی هر یک از خدمات فوق کلیک کنید مشاهده همه خدمات ما